Hamburger Menu 1 Streamline Icon: https://streamlinehq.com

Ästhetik

Ästhetik

Tooth 1 Streamline Icon: https://streamlinehq.com

Weil Ihr Lächeln den ersten Eindruck hinterlässt

Es gibt keine zweite Chance für den ersten Eindruck – und kaum etwas prägt ihn so sehr wie ein natürlich schönes Lächeln. Unsere Zähne stehen im Mittelpunkt unseres Gesichts. Noch bevor das Gespräch beginnt, nehmen unsere Mitmenschen unbewusst die Ausstrahlung unseres Mundes wahr – ein strahlendes, gepflegtes Gebiss vermittelt Gesundheit, Vitalität und Selbstbewusstsein.

In unserer Praxis für ästhetische Zahnmedizin in Essen-Rüttenscheid verbinden wir Funktionalität mit natürlicher Ästhetik. Unser Ziel: Ihre Zähne nicht nur zu erhalten, sondern Ihnen ein dauerhaft schönes, harmonisches Lächeln zu schenken – mit hochwertigen Materialien, modernsten Techniken und langjähriger Erfahrung.

Ein natürliches Lächeln wirkt oft stärker als perfekte Symmetrie.

Ästhetik ist Vertrauenssache

Jeder Mensch hat seine ganz eigene Vorstellung von Schönheit – und genauso individuell sind auch die Anforderungen an die ästhetische Zahnmedizin. Deshalb nehmen wir uns viel Zeit, um Ihre Wünsche und Erwartungen genau zu verstehen. Denn nur wenn wir gemeinsam wissen, was Sie sich wünschen, können wir ein Behandlungskonzept entwickeln, das wirklich zu Ihnen passt.

In einem ausführlichen Beratungsgespräch analysieren wir Ihre Zahnsituation, besprechen mögliche Behandlungsoptionen und erklären Ihnen transparent alle Schritte – vom Ablauf bis zu den voraussichtlichen Kosten. Dabei stehen Ihre Zufriedenheit, Ihre Sicherheit und ein natürliches, harmonisches Ergebnis stets im Mittelpunkt.

Unser Leistungsspektrum

Von der sanften Zahnaufhellung bis zur hochwertigen vollkeramischen Versorgung – entdecken Sie unsere ästhetischen Lösungen für ein natürlich schönes und gesundes Lächeln.

Bleaching

Im Laufe der Jahre können sich Zähne durch Kaffee, Tee, Rotwein oder Nikotin verfärben – ein ganz natürlicher Prozess. Mit unserem professionellen Bleaching bringen wir Ihr Lächeln wieder zum Strahlen. Schonend, sicher und effektiv hellen wir Ihre Zähne um mehrere Farbstufen auf – für ein sichtbar frischeres und jüngeres Erscheinungsbild. Das Verfahren ist schmerzfrei und wird individuell auf Ihre Zahnfarbe abgestimmt.

Bleaching - Zahnaufreihung mit verschiedenen Zahnfarben

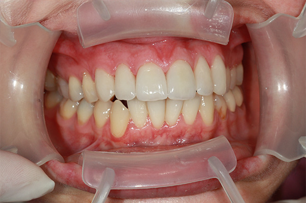
Veneers

Veneers sind hauchdünne, lichtdurchlässige Keramikschalen, die dauerhaft auf die Vorderseite der Zähne aufgebracht werden. Sie eignen sich hervorragend, um leichte Fehlstellungen, abgebrochene Kanten, Verfärbungen oder ungleichmäßige Zahnformen ästhetisch zu korrigieren – ganz ohne sichtbare Eingriffe.

Dank ihrer natürlichen Optik und hohen Bioverträglichkeit fügen sich Veneers harmonisch ins Zahnbild ein und sorgen für ein strahlendes, ebenmäßiges Lächeln – ganz ohne Kompromisse bei der Funktion.

vorher1 vorher2
Vorher
Nachher

Keramische Inlays

Keramische Inlays sind eine hochwertige und langlebige Lösung für die Restaurierung von Zähnen. Sie werden individuell angefertigt und passgenau in den beschädigten Zahn eingesetzt. Keramische Inlays bieten eine natürliche Ästhetik und eine hohe Stabilität, wodurch sie eine hervorragende Alternative zu Füllungen oder Kronen darstellen.

Sie sind besonders geeignet für Zähne, die stark geschädigt oder abgenutzt sind. Mit der richtigen Pflege können keramische Inlays viele Jahre halten und die Funktion und das Aussehen Ihrer Zähne wiederherstellen.

Bleaching - Zahnaufreihung mit verschiedenen Zahnfarben

Implantologie

Ein fehlender Zahn ist mehr als nur ein ästhetisches Problem: Er kann das Kauen beeinträchtigen, die Sprache verändern und langfristig den Kieferknochen abbauen. Mit modernen Zahnimplantaten bieten wir Ihnen eine dauerhafte und besonders schonende Lösung, um Zahnlücken funktionell und optisch perfekt zu schließen.

Ein Zahnimplantat ist eine künstliche Zahnwurzel aus Titan oder Keramik, die fest im Kiefer verankert wird. Darauf wird – nach einer Einheilzeit – eine passgenaue Krone, Brücke oder Prothese befestigt. Das Ergebnis ist nicht nur optisch überzeugend, sondern fühlt sich auch beim Kauen und Sprechen absolut natürlich an.

Implantatsmodell transparent

Kompositfüllungen

Kompositfüllungen sind moderne, zahnfarbene Kunststoff-Keramik-Füllungen, die sich nahezu unsichtbar in die natürliche Zahnstruktur einfügen. Sie eignen sich ideal zum Versorgen kleiner bis mittelgroßer Defekte im Front- und Seitenzahnbereich – und sind eine ästhetisch ansprechende Alternative zu Amalgam.

Das hochwertige Material ist nicht nur formstabil und langlebig, sondern auch sehr gut verträglich. Dank moderner Klebetechniken kann die Füllung besonders zahnschonend eingebracht werden – ganz ohne unnötigen Substanzverlust.

Ob nach Kariesbehandlung oder als Austausch alter Füllungen: Komposit sorgt für ein harmonisches Gesamtbild, ohne Kompromisse bei Funktion und Haltbarkeit.

Vollkeramische Kronen

Wenn ein Zahn stark beschädigt oder stark gefüllt ist, bietet eine Krone langfristigen Schutz und Stabilität. Vollkeramische Kronen sind dabei die erste Wahl für höchste ästhetische Ansprüche: Sie kommen ganz ohne Metall aus und ahmen Farbe, Lichtdurchlässigkeit und Struktur natürlicher Zähne perfekt nach.

Die moderne Hochleistungskeramik ist nicht nur optisch überzeugend, sondern auch biokompatibel und sehr gut verträglich. Vollkeramische Kronen eignen sich ideal für sichtbare Bereiche, fügen sich harmonisch in das Zahnbild ein und bieten gleichzeitig eine hohe Stabilität beim Kauen.

Dank digitaler Abdruckverfahren und präziser CAD/CAM-Technologie fertigen wir Ihre Krone passgenau – für ein Ergebnis, das aussieht wie ein natürlicher Zahn und sich genauso anfühlt.

vorher1 nachher1
Vorher
Nachher

Häufig gestellte fragen

Sie haben Fragen zur Ästhetik? Hier finden Sie die wichtigsten Antworten auf einen Blick. Und wenn doch noch etwas unklar bleibt, wir sind gerne für Sie da!

Wie lange hält ein Bleaching?

Die Haltbarkeit eines Bleachings hängt von den individuellen Lebensgewohnheiten ab (z. B. Kaffee, Tee, Nikotin). In der Regel bleibt das Ergebnis 1–3 Jahre sichtbar. Auffrischungen sind jederzeit möglich.

Sind Veneers schädlich für die Zähne?

Nein – Veneers sind sehr gut verträglich und erfordern nur einen minimalen Abtrag der Zahnoberfläche. Bei korrekter Anwendung und guter Pflege halten sie viele Jahre und beeinträchtigen die Zahnsubstanz kaum.

Was kostet eine ästhetische Zahnbehandlung?

Das hängt stark vom Umfang der Behandlung ab – z. B. Anzahl der Veneers, Art der Füllung oder Krone. Wir erstellen Ihnen gerne einen transparenten Heil- und Kostenplan im Rahmen eines persönlichen Beratungsgesprächs.

Gibt es gesundheitliche Risiken bei vollkeramischem Zahnersatz?

Vollkeramische Materialien gelten als äußerst biokompatibel und lösen in der Regel keine Allergien aus. Sie sind metallfrei, ästhetisch überzeugend und langlebig.

Ist eine ästhetische Zahnbehandlung auch funktionell sinnvoll?

Absolut! Ästhetik und Funktion gehören zusammen. Schöne Zähne verbessern nicht nur das Erscheinungsbild, sondern oft auch das Kauen, Sprechen und das Selbstbewusstsein.

Wird die Behandlung von der Krankenkasse übernommen?

Rein ästhetische Leistungen sind in der Regel privat zu zahlen. Bei medizinischer Notwendigkeit (z. B. bei Zahnersatz) können jedoch anteilige Kosten übernommen werden – wir beraten Sie gerne dazu.

Kontakt & Anfahrt

Finden Sie hier alle Kontaktmöglichkeiten und unsere Lage auf einen Blick.